• 17.10.2025

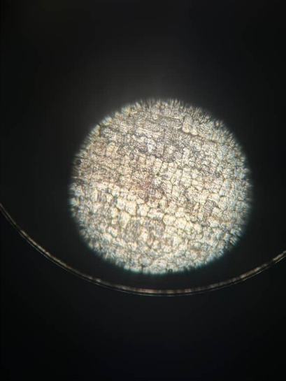
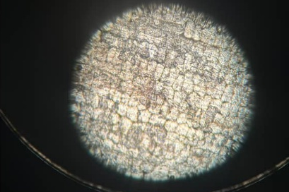
Učenici EMC-a u školskom laboratoriju su pripremili privremene preparate biljne ćelije (pokožica luka – Allium cepa).🧅

Koristeći mikroskope, učenici su posmatrali osnovne strukture biljne ćelije i crtali ono što su uočili, produbljujući razumijevanje ćelijske građe kroz praktičan rad.

Nastavljamo da učimo kroz iskustvo i istraživanje! 🔬 ✨